What is Asbestos?
Asbestos are a bundle of fibers that naturally occur in the environment, they have the property of being resistible to heat, fire and chemicals as well as being a bad conductor of electricity.
Products made from Asbestos:
- Electrical Insulation
- Spray on Insulation
- Tunnels
- Pipe Chases
- Dry Wall
- Fire Blanket
- Automotive breaks
Others include
Roof
Pipes
Ceiling Tiles
Floor Tiles
Asbestos, Bundle of Fibers
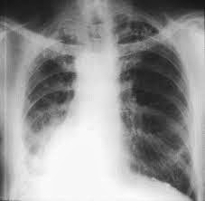
Health Effects of Asbestos:
Lung Cancer
Mesothelioma
Asbestosis
How Asbestos get into the body
Before and After Asbestos Lungs
click to enlarge the picture
Asbestos if undisturbed is not harmful, as the fibers remain settled and not free floating in the air.
A simple fun installation or electrical re-wiring where asbestos is used on the ceiling tiles or the dry wall, however can become dangerous, because of the level of exposure to the person carrying out the work and to others around.
Most new buildings do not use Asbestos products, for such things as roofing, piping, dry walling and the like, because of its known risk now, though a lot of old buildings do have asbestos products in them. As soon as Asbestos is detected in renovation or demolition works on old buildings, the risk has to be assessed and the right safe working method of removing and disposing off the asbestos must be adopted, these includes:
- Isolation and segregation of the area to be worked at,
- The use of personal protective equipment
- The use of specially designed bags to collect the asbestos
If the work is carried out is indoors, then the work area must be air tight and a suction used to filter and collect any free floating asbestos debris. The risk of carrying Asbestos fiber through cross contamination to our homes and to our family must also be a factor of concern.
Handling Asbestos
Use of Machinery to Reduce Aggravating the Risk
Wearing of the Complete PPE to Reduce Exposure
Safely Store Asbestos Materials for Disposal
Safe Storage of Asbestos Roofing Sheet
Always be Protected When Working
Adopt the Right Method of Disposal
The health impact of Asbestos sometimes does not manifested until 10 to 20 years from the time of exposure, hence we have to keep in mind the long term dangers of our actions today and be very cautious of the health and safety risk in our environment. It is in the act of following the best practice approach that we will reduce our risk in health and safety and not by being ignorant and not taking health and safety seriously, always remember to observe, assess, measure before acting. Remember to update yourself of new findings that lay emphasis on your health and safety risk.






















































